
1、什么是智齿冠周炎
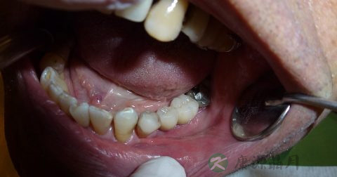
冠周炎(perieoronitis)系指阻生牙或正常牙在萌出过程中牙冠周组织发生的化脓性炎症,亦有称为“冠周感染”者。由于人类种系发生和演化的结果导致下颌骨退化,从而引起下颌智齿阻生;下颌智齿萌出不全,牙冠表面覆盖着龈瓣,一旦遇有感染,很容易引起牙冠周围软组织炎症,称为智齿冠周炎(pericoronitis of wisdom tooth)。
2、智齿冠周炎的饮食保健
全身治疗应注意休息,进流汁饮食、勤漱口,应用抗生素控制感染。局部治疗用钝头冲洗针吸入3%过氧化氢和生理盐水依次行冠周盲带冲洗,然后在隔湿条件下,用探针蘸碘酚或10%碘合剂烧灼盲带,撒以冰硼散或冠周炎膜,同时理疗,有镇痛、消炎和改善张口的作用。若有冠周脓肿形成,应在局麻下切开脓肿,置入橡皮条或碘仿纱条引流,感染波及邻近间隙,还应作相应间隙的切开引流术。
3、智齿冠周炎怎么快速止痛呢
急性炎症消退后,应对病源牙作进一步处理,以防复发。如牙位正、能正常萌出,并有对颌牙行使咀嚼功能者,可作冠周龈瓣楔形切除术,否则应予拔除。
长智齿是人的成长过程中必须要经历的,因为智齿是人长牙过程中的最后一颗牙齿,长了智齿代表人的智力的发育的成熟。但是智齿的生长过程中也会有一些炎症和生长的位置的问题,不必太过于担心,如果情况比较严重的话,可以到附近的诊所看看。
冠周炎多发生于下颌智齿萌出不全或阻生时,牙冠周围软组织发生炎症。炎症初期,病人觉得牙龈肿胀疼痛,咀嚼吞咽或开口活动时疼痛明显,随着病情发展疼痛加重;严重时还可出现不同程度的无法张口,甚至牙关紧闭。治疗以局部处理为主,常用生理盐水和2%双氧水冲洗局部,再放置碘甘油,最好每日1~3次,再用洗必泰漱口液漱口。如果有脓肿形成,应及时切开排脓。如果出现面颊部红肿热痛,甚至全身发热、疼痛等,可以使用抗生素和消炎止痛药,常用的药物也是广谱抗生素和灭滴灵(甲硝唑)等。
智齿冠周炎的局部治疗很重要。每日可用1%~3%过氧化氢溶液及生理盐水或其他灭菌溶液冲洗盲袋,然后点入3%碘甘油。另给复方硼砂液或呋喃西林液等含漱,一日多次。早期还可局部理疗、外敷中草药以助炎症吸收。针刺疗法可有镇痛、改善张口等作用。如脓腔形成,可切开引流。
偏方一:
智齿冠周炎的治疗偏方组成:生石膏30克,黄芩12克,紫花地丁15克,生地20克,玄参12克,大黄6克。智齿冠周炎的治疗偏方功用 清热凉血,泻火通便。
治疗智齿冠周炎的偏方主治
急性牙龈炎、牙龈脓肿、智齿冠周炎、急性炎周炎、早期峰窝组织炎等疾患。牙周组织急性炎症多因上焦有热,胃火上攻,以致牙周水肿肿胀,充血发红,渗出化脓,牙齿叩痛,牙周粘膜扪痛,影响咀嚼进食。
偏方二:
山栀、黄连、板蓝根;肿甚可加连翘、生苡仁、天花粉;肿甚有脓可加漏芦、薄公英;出血明显可加白茅根、生槐米、旱莲草。
偏方三:
取生石膏40克,黄连、白芷、川芎各20克,细辛3克。将上药研末,过7号筛,混匀,以5克1小瓶分装密封保存。每天服3次,每次3~10克,温开水送服,5天为1个疗程。服药期间每天用生理盐水或3%双氧水冲洗局部1次。孕妇、产妇忌用。
豫公网安备 41110202000246号互联网药品信息服务资格证书:(豫)-经营性-2022-0039增值电信业务经营许可证:豫B2-20221313医疗器械经营备案编号:豫郑食药监械经营备20212188号



