
在临床中,脚后跟疼痛是一个极其常见、但又经常被简单处理的问题。不少患者在影像学检查后,被告知“骨刺”“跟骨增生”,随后进入长期贴膏药、吃止痛药、反复休息的循环,但疼痛始终反复。

事实上,大量研究和临床实践已经明确:相当一部分慢性足跟痛的核心问题,并不在骨,而在跟腱本身。
一、跟腱不是“老化就会坏”,
而是典型的负荷性组织
跟腱是人体最粗、承受负荷最大的肌腱之一,在行走、跑跳时承受体重数倍的张力。长期重复负荷、恢复不足、力线异常或突然运动量增加,都会使跟腱进入慢性腱病(Achilles tendinopathy)状态。
需要强调的是:慢性跟腱病 ≠ 急性炎症。
在慢性阶段,真正的病理核心是:
而不是单纯的“发炎”。

图:跟腱超声示退变
这张是典型的 慢性腱病纵向或横向超声图像:
•腱体 明显增厚
•内部回声 不均匀(部分区域暗)
这些改变代表慢性结构性退变,同时回声模式破坏反映胶原排列紊乱。 
二、为什么X线和部分MRI解释不了疼痛?
X线只能显示骨结构,对腱组织几乎没有诊断价值。
MRI虽然可以显示跟腱形态,但在以下情况下容易“低估问题”:

图:病理性 vs 正常跟腱超声比较
上面对比了症状侧与正常侧的超声表现:正常跟腱显示清晰、平行的纤维回声。
病理性跟腱明显增厚且回声模式破坏,甚至在一定程度上表现出血流信号。
对比帮助理解慢性腱病不是简单“炎症”,而是结构退变与血流代偿性变化并存的复杂过程。 
而肌骨超声在跟腱病评估中具有明确优势,被多个指南推荐用于腱病的初始与随访评估。
三、跟腱慢性病变的超声分型
根据国际通用的腱病影像与病理理解,结合超声表现,临床上常将慢性跟腱病分为以下几类(并非凭空命名,而是对真实影像特征的总结):
腱体型跟腱病(mid-portion tendinopathy)
超声表现包括:

图:跟腱腱病超声横断面 + 多普勒血流信号
这张图展示了跟腱在超声横断面下的表现,有以下几个重点:
低回声区(暗区) 表示腱组织退变、胶原混乱,与慢性腱病的组织改变一致。
彩色多普勒高血流信号 指代新生血管/异常血流,是慢性病变活跃阶段的常见特征,提示代谢较活跃或“代偿性反应”。
这是最常见的慢性跟腱病类型,多见于跑步、跳跃人群。
跟腱止点病变(insertional tendinopathy)
病变位于跟腱附着于跟骨处,超声可见:
这类患者常表现为穿鞋摩擦痛、晨起第一步痛明显。
腱周组织改变(paratenon involvement)
部分患者腱体结构尚可,但超声可发现:

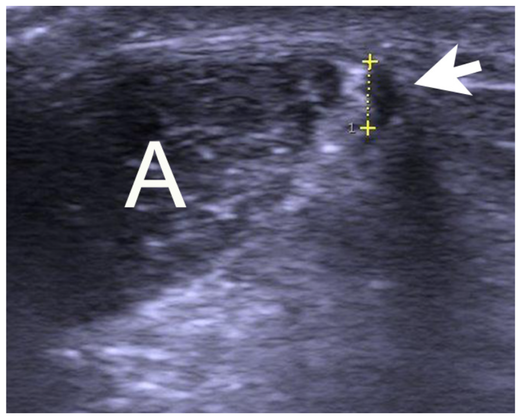
图:跟腱中段腱病(mid-portion tendinopathy)
这张图重点展示了中段型腱病:
“A” 区显示跟腱组织在这一段的厚度增加、低回声改变,提示退变;
这个位置通常在距跟骨附着 2–6 cm 范围内,是临床最常见的慢性跟腱病区域。
这种类型常被误认为“肌肉拉伤”或“单纯劳损”。
四、超声为什么能影响治疗决策?
不同超声分型,代表的是不同阶段、不同性质的病理过程:

图:高定义多普勒下的血流增生
这张是纵向视图结合彩色多普勒血流的超声图:
大量异常血流(橘红色) 是慢性腱病的一个超声特征,特别是在中段型跟腱病中更明显。
它不等同于急性炎症的“经典炎症性充血”,但常提示慢性病变组织代谢活跃。
这直接决定:
这也是为什么指南强调:腱病治疗不能只看“疼不疼”,而要结合影像分型。
五、为什么“拉一拉”“休息”常常无效?
慢性跟腱病的本质是组织质量下降和力学适应失败。单纯休息只能暂时降低负荷,却无法改善:

因此,循证医学普遍认为:结构性腱病的核心管理手段是分级、可控的功能负荷重建,而非长期避免使用。
当我们把脚后跟痛从“骨刺思维”转向跟腱病理与功能分型,许多长期无解的问题便有了清晰逻辑。
超声的价值不在于“看得见”,而在于看清楚病变处于哪一个阶段。这正是慢性肌骨疼痛管理从经验走向专业的重要一步。
豫公网安备 41110202000246号互联网药品信息服务资格证书:(豫)-经营性-2022-0039增值电信业务经营许可证:豫B2-20221313医疗器械经营备案编号:豫郑食药监械经营备20212188号



