
刷牙方式不当造成的,很多人刷牙都希望把牙齿表面附着的物质给刷掉,因而用力过大,这不仅无法清除牙齿表面脏的物质,反而会损害牙釉质,也会使牙龈造成伤害,这种情况下,牙齿自然而然就会出血。
可能你已经患上了轻度的牙周炎,牙周炎是世界上最多的口腔疾病之一,刚开始患的时候可能没有任何感觉,但是一旦有感觉就有可能出现牙齿松动,甚至是牙齿脱落等危害。

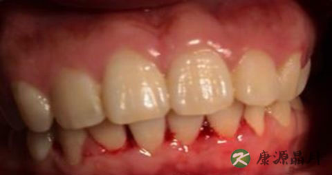
3.1、牙龈出血90%是由牙龈炎造成的。随着人们生活水平的提高,因为缺乏维生素而导致的牙龈出血,已经非常少见了。所以,牙龈出血,大多是牙龈炎引起,当然,还有少部分是全身性疾病的一个局部表现。
3.2、在牙龈炎处于轻度状态时,一定要在思想上引起重视,及时治疗,尽可能避免向牙周炎发展。大多患有牙龈炎和牙周炎的人,牙结石都是主要致病因素,它们沉积在牙颈部,破坏牙周组织,使牙龈沟出现糜烂、溃疡等症状。
3.3、因此,一旦发现牙龈出血,要及时到医院就诊,去除局部刺激物,进行牙齿彻底的洁治或牙周刮治。
经常上火也容易导致牙齿的问题出现,比如牙齿酸痛,牙齿肿胀,严重的话还有可能会导致牙齿的出血,要少吃上火的东西,平时多喝水。

牙龈出血的话记得千万不要忽视,不要以为只是牙齿有问题,去检查牙齿的时候最好做一个全身及检查,糖尿病或其他血液性的疾病也是有可能导致牙龈出血的情况的发生的。
1、将刷头置于牙颈部,刷毛指向牙根方向(上颌牙向上,下颌牙向下),刷毛与牙长轴大约呈45°角,轻微加压,使刷毛部分进入牙龈沟内,部分置于牙龈上。
2、从后牙颊侧以2~3颗牙为一组开始刷牙,用短距离水平颤动的动作在同一部位数次往返,然后将牙刷向牙冠方向转动,拂刷颊面。刷完第一个部位后,将牙刷移至下一组2~3颗牙的位置重新放置,注意与前一个部位保持有重叠的区域,继续刷下一个部位,按顺序刷完上下牙齿的唇(颊)面。
3、用同样的方法刷后牙的舌(腭)面。
4、刷上前牙舌面时,将刷头竖放在牙面上,使前部刷毛接触龈缘,自上而下颤动。刷下前牙舌面时,自下而上颤动。
5、刷咬合面时,刷毛指向咬合面,稍用力作前后来回刷。

1、许多人容易患尖周病。尖周病是指根尖周围组织的炎性病变。多由于牙髓病继发所引起。此外,创伤性胎或过深的牙周袋也可引起。临床上一般分为急性根尖周炎和慢性根尖周炎两类。
2、急性根尖周炎:牙齿多为死髓牙、变色,对温度刺激无感觉。表现为持续性钝痛,且有明显叩痛。初期咬紧时有舒适感,渐则咀嚼疼痛,有牙浮动感亦松动。当病期发展到急性牙槽脓肿,则疼痛肿胀更甚。颌下区淋巴结肿大而有压痛。
3、慢性根尖周炎:牙齿也多为死髓牙,一般无自觉症状。但可在相应的病牙的牙龈粘膜上有肉芽肿或瘘管排脓史,检查可见溢脓。慢性根尖周炎也可急性发作为急性根尖周炎。相反,慢性根尖周炎又多由于急性根尖周炎而来。
豫公网安备 41110202000246号互联网药品信息服务资格证书:(豫)-经营性-2022-0039增值电信业务经营许可证:豫B2-20221313医疗器械经营备案编号:豫郑食药监械经营备20212188号



