
1、草莓:坚固牙齿,并且其中还含有漂白和清洁牙齿的成分,对于除掉牙齿表面的茶垢和咖啡污垢十分有用。
2、花菜:它可以作为“磨砂膏”,美白牙齿。同时,花菜可以刺激唾液的产生,有助于阻止牙斑的形成。
3、西瓜:两杯西瓜汁可以补充人体每天所需维生素C的25%。维生素C对于牙齿和牙龈健康非常关键,它有助于铁元素的吸收,还具有抗氧化功效,防止“自由基”分子氧化导致的牙齿老化。研究表明,吃维生素C含量高的食物,患牙龈疾病的概率会降低。
4、橙子:橙子中的维生素C同样会促进牙齿和牙龈健康,其中的纤维还可以使牙斑脱落。
5、苹果:嚼苹果可以刺激口腔分泌唾液,清理和坚固牙齿,还可以减少身体对糖的吸收。
6、深色蔬菜:暗绿色叶子的蔬菜富含胡萝卜素,它可以转化成维生素A,有助于保持牙床坚固。
7、奶制品:研究认为,酸奶中的蛋白质可以附着在牙齿上,从而保护其免受有害酸性物质的侵袭,增强牙齿健康。另外,咀嚼较硬的干酪可以促进唾液产生,从而去除食物残渣。
8、豆类:这类食物可以充分“擦净”口腔,刺激唾液产生。
9、葡萄:葡萄中的清洁酶———苹果酸,会使牙齿亮白。

10、水:平时要做到,饭间抿少量的水,饭后漱口。
1、可分为局部因素和全身因素(或疾病)。
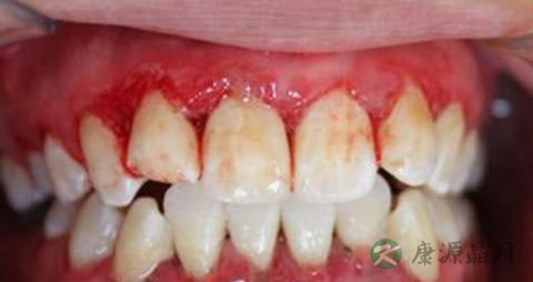
2、菌斑、牙石的局部刺激。菌斑、牙石的聚集,可由食物嵌塞、不良修复体、不良的口腔卫生习惯等引发,引起牙周组织炎症,如菌斑性牙龈炎、牙周炎等。
3、其他局部刺激因素(非菌斑牙石)及不良习惯。机械、化学、不良修复体、不良充填体、不良矫治器及张口呼吸等的刺激下,引发局部炎症,如增生性龈炎、牙周炎等。
4、局部组织过敏。局部接触过敏原时,引发过敏反应,波及牙龈时,牙龈红肿极易出血。如浆细胞性龈炎。
5、牙龈外伤及牙周手术。
6、内分泌的改变。在性激素升高、孕酮激素升高的影响下,使牙龈组织在轻微刺激下,引发非特异性炎症,导致牙龈出血、渗出增多、牙龈增生等。如青春期龈炎、妊娠期龈炎及牙龈瘤。
7、全身性疾病。如血液系统疾病、糖尿病、心血管疾病、肝肾功能异常、肿瘤等。致病方式通常是使全身的免疫力下降,进而导致对于局部刺激的抵抗力下降,诱发牙龈炎症;凝血系统障碍;血管的器质性变化、血流的动力学改变等等。
8、其他一些作用于全身的外界因素。如吸烟、抗凝血药物的服用等。

1、混合牙列时段的儿童,常因乳恒牙替换,牙列出现暂时性排列不齐,易导致牙床发炎,如不注意口腔卫生,易引起萌出性龈炎导致牙龈出血。
2、青春期少年,因易患青春期龈炎,牙龈出血也常见。主要原因是卫生习惯不良,再加之青春期内分泌(性激素)的变化较明显,使牙龈组织对微量局部刺激物,易产生明显的炎症反应,出现牙龈出血。
3、妊娠期的女性,如果妊娠前就已患有慢性龈炎,在妊娠期间孕激素水平升高后,常造成牙龈的自发性出血,妊娠时牙龈乳头可出现瘤样增生称“妊娠性龈瘤”,极易出血,一般在经期和分娩后,龈瘤和出血症状可消失或部分消失。
4、患某些系统性疾病(糖尿病、心血管疾病等)的中老年人,糖尿病患者由于牙床毛细血管缺氧,抵抗细菌能力下降,易造成牙床感染出血;另外有些高血压、冠心病的中老年患者,因警惕心梗血栓等,长期口服阿司匹林,如有牙龈炎症更易出血,长期服用者应警惕。
5、长期卧床不起,生活不能自理的患者,口腔护理不佳者也是牙龈出血的易感人群。
豫公网安备 41110202000246号互联网药品信息服务资格证书:(豫)-经营性-2022-0039增值电信业务经营许可证:豫B2-20221313医疗器械经营备案编号:豫郑食药监械经营备20212188号



