
1、现在越来越多的人缺少维生素c,缺少维生素c会对人体产生极大的危害,例如牙龈的健康就与维生素c有关。如缺乏维生素c的人牙齿变得非常脆弱,常常出现牙龈出血,肿胀,是引起牙齿松动的原因。经过测量猕猴桃是水果中维生素c含量最多的水果。所以,猕猴桃是最有利于治疗牙龈出血的水果。
2、家里有搅拌机的话,可以搅拌以后吃,猕猴桃+苹果,一起搅拌的果泥最有营养,两种水果的营养成分可以互补。喜欢吃甜食的朋友,可以加一些糖。
3、将它用水洗净后,在猕猴桃的头顶处切开成小杯子型,之后用小勺直接挖着吃就可以了,这样既卫生又省事。另外,一般国内的猕猴桃比较酸,宝宝爱吃酸的就可以,但是如果吃不下,可以买一些新西兰进口的,这种适合广大的人群食用。

4、猕猴桃的皮是不好剥掉,软一点的还可以,建议可以用榨汁机榨果汁喝,再加上牛奶,让后搅拌一下,香气扑鼻。而且经过压榨,猕猴桃仔都会飘到表层,把仔去掉,还可以给宝宝喝,健康有益注意事项:
5、苹果。吃水果对牙齿也是有帮助的,比如黄瓜、苹果,咀嚼的时候可以帮助牙齿互相的进行清洁,而且吃水果还有利于帮助我们发现牙齿的问题,如
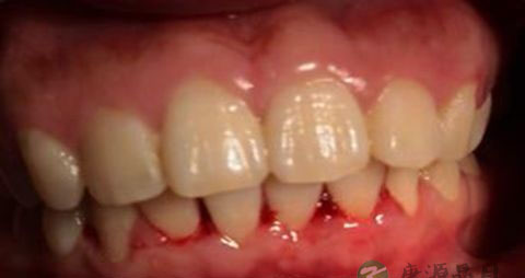
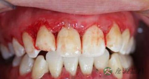
1、菌斑、牙石的局部刺激。菌斑、牙石的聚集,可由食物嵌塞、不良修复体、不良的口腔卫生习惯等引发,引起牙周组织炎症,如菌斑性牙龈炎、牙周炎等。
2、其他局部刺激因素(非菌斑牙石)及不良习惯。机械、化学、不良修复体、不良充填体、不良矫治器及张口呼吸等的刺激下,引发局部炎症,如增生性龈炎、牙周炎等。
3、局部组织过敏。局部接触过敏原时,引发过敏反应,波及牙龈时,牙龈红肿极易出血。如浆细胞性龈炎。
4、牙龈外伤及牙周手术。
5、内分泌的改变。在性激素升高、孕酮激素升高的影响下,使牙龈组织在轻微刺激下,引发非特异性炎症,导致牙龈出血、渗出增多、牙龈增生等。如青春期龈炎、妊娠期龈炎及牙龈瘤。

6、全身性疾病。如血液系统疾病、糖尿病、心血管疾病、肝肾功能异常、肿瘤等。致病方式通常是使全身的免疫力下降,进而导致对于局部刺激的抵抗力下降,诱发牙龈炎症;凝血系统障碍;血管的器质性变化、血流的动力学改变等等。
7、其他一些作用于全身的外界因素。如吸烟、抗凝血药物的服用等。
1、消化系统疾病
牙龈出血者的口腔分泌物中有大量幽门螺蝣杆菌。它们会随着唾液进入胃中,从而引发胃炎、肠炎、胃及十二指肠溃疡,甚至胃癌。
2、呼吸系统疾病
口腔位于呼吸道的上游,因此牙龈出血容易导致各种上呼吸道感染和肺部疾患,如支气管炎、咽喉炎、扁桃体炎和肺炎。
3、内分泌系统
口腔感染能诱发糖尿病,当口腔病菌产生的毒素进入血液后,会使细胞表面的胰岛素受体变得迟钝,使胰岛的作用下降,从而导致血糖升高。
4、生殖系统疾病
德国医学汉斯里德尔对对190位男性不育、性功能障碍患者进行了血液检查,发现他们都有牙龈出血现象。经过系统治疗有40%的患者妻子怀孕了。
豫公网安备 41110202000246号互联网药品信息服务资格证书:(豫)-经营性-2022-0039增值电信业务经营许可证:豫B2-20221313医疗器械经营备案编号:豫郑食药监械经营备20212188号



