
1、鸡蛋一枚,将蛋清倒入碗中,加白酒100毫升,搅成糊状,睡前服之。
2、取大蒜捣烂,温热后敷在疼点上可治疗牙髓炎、牙周炎和牙痛等。
3、把味精按1:50的浓度用温开水花开后,口含味精溶液一会儿吐掉,这样连续几次,坚持两天后牙痛就会好。
4、食醋50毫升,加入开始50毫升,混匀含漱,每日2次,连续2周,可治疗牙周炎引起的牙痛。
5、牙疼时切生姜一小片咬在痛处,必要时可以重复使用,睡觉前含在嘴里也无妨。
6、鲜姜1片或用花椒2粒,或切半瓣大蒜咬在牙洞,又迅速缓解牙痛的效果。
7、取普通白酒100克放入茶缸里加上食盐10克,搅拌,等盐溶化后放在炉子上烧开,含一口在疼痛的地方。
8、鱼肉、米、扁豆、豌豆和蚕豆这些食品含磷量高,磷酸盐可形成缓冲系统,防止口腔过度酸化。儿童应多吃一些豆类、豆制品、蔬菜、鱼、虾等钙质丰富的食物,以供给足够的矿物质和维生素,使牙齿得到正常的发育。
9、牛奶和乳制品这些食品中含有大量的钙,钙能抑制细菌产酸,并能防止牙齿的钙磷化合物溶解。此外牛奶中所含的免疫球蛋白和酶等能抑制口腔中的细菌生长。
10、含氟较多的食物有鱼、虾、海带、海蜇,茶和矿泉水中含量也不少,氟能与牙质中的钙磷化合物形成不易溶解的氟磷灰石,从而防止细菌所产生的酸对牙质的侵蚀。

11、应多食用烹调加工不过于精细的食物,因其所含的脂溶性维生素和矿物质较多,进食时需要较大的咀嚼力,咀嚼可促进唾液分泌,除帮助消化外,还可起到洗擦牙齿的作用。应少食用加工过细的精制食品(如话梅、巧克力、汽水、糖果、糕点、饼干等)。
12、水果如苹果、生梨等在进食时可起到对牙齿的机械擦洗作用,擦去粘附于牙齿表面的细菌。此外,水果中的果胶还有抑制细菌的作用。蔬菜含有许多微量元素和大量的维生素C,也是很重要的抗龋营养素。而蔬菜纤维通过对牙面的机械性摩擦清洗和刺激唾液腺分泌,可以减少食物的粘附和牙菌斑的形成。另外植物油能在牙齿表面形成疏水层,可以保护牙齿,防止牙质溶解。
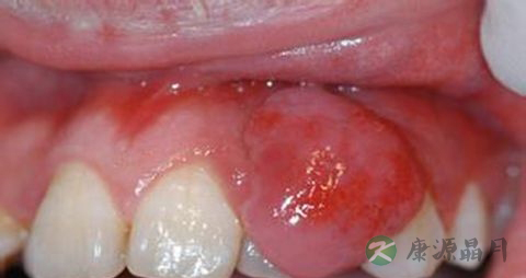
1、牙龈呈深红色或暗红色,肿胀肥大,龈缘圆钝,牙龈乳头呈球状。组织松软,探诊易出血,也可有脓性分泌物。严重者附着龈可因组织水肿,点彩消失,表面光亮,龈缘可有糜烂或肉芽增生,龈袋溢脓。急性牙周脓肿发病突然,牙龈红肿光亮,患处牙龈形成椭圆形或半球状的肿胀突起,未成熟时张力大,疼痛较明显,成熟后有波动感。患牙因牙周膜水肿而有“浮起感”,叩痛,松动明显。脓肿后期,脓液局限,脓肿表面较软,检查可见溢脓。可有局部淋巴结肿大,或有白细胞轻度增高。脓肿可自行破溃而消退。
2、若身体抵抗力降低时,可出现单发或多发性的龈脓肿,特别以龈乳头区较多见。若慢性牙周炎急性发作引起的牙周肿痛可伴牙齿松动。若是急性根尖周炎引起的牙龈肿痛可多可查及龋坏、隐裂等,并可有牙齿浮出感。牙龈肿痛患者多伴有牙龈出血、自觉牙龈发胀、口臭等。

引起牙龈肿痛的原因主要包括牙龈脓肿、牙周脓肿、智齿冠周炎或根尖周炎等,最为常见是牙周脓肿引起的病症,年轻人多见智齿冠周炎。
患者本身往往存在牙龈或牙周组织慢性炎症,当机体抵抗力下降,天气干燥,进食辛辣刺激的食物或患有全身系统性疾病,如糖尿病时,会导致原有慢性炎症急性发作,出现牙龈肿痛症状。
1、注意口腔卫生,养成“早晚刷牙,饭后漱口的良好习惯。
2、发现龋齿,及时治疗。
3、睡前不宜吃糖、饼干等淀粉之类的食物。
4、慎食辛辣刺激食物。
5、定期口腔检查,遵循医嘱,及时治疗口腔内疾患。
豫公网安备 41110202000246号互联网药品信息服务资格证书:(豫)-经营性-2022-0039增值电信业务经营许可证:豫B2-20221313医疗器械经营备案编号:豫郑食药监械经营备20212188号



